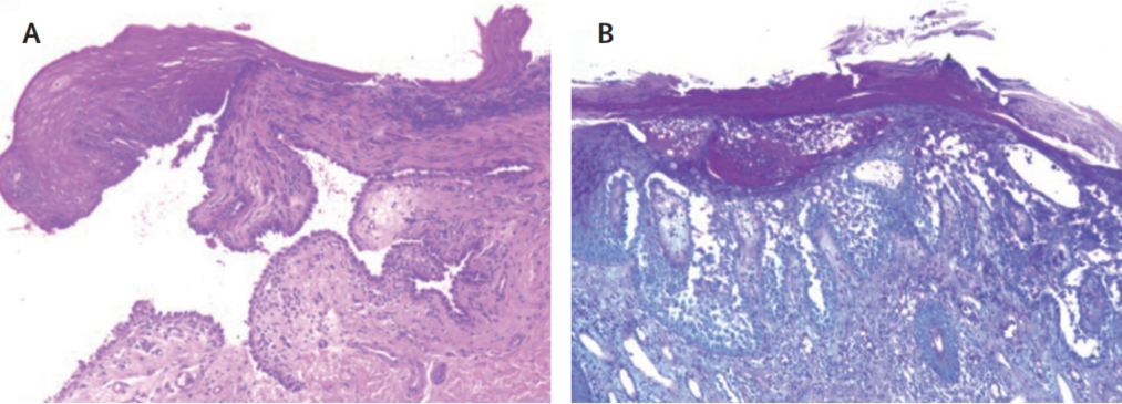
诊断要点:1、临床表现:①病史:需详细采集病史,重点关注起病前用药史(如卡托普利等)及既往病史。②主要症状:多数患者先有口腔损害,表现为持续性、痛性糜烂或溃疡(图 5);随后出现皮损,表现为松弛性水疱和大疱,多出现在皮肤表面(图 6)。③分型:根据临床表现分为皮肤黏膜型、黏膜主导型和皮肤型。2、辅助检查:①组织病理学检查:选择新发(24 h 内)小水疱为标本。具体病理学表现见「上文-病理学」。②组
3. Amagai M , Tanikawa A , Shimizu T ,et al. Japanese guidelines for the management of pemphigus[J]. J Dermatol, 2014,41(6):471-486. doi: 10.1111/1346-8138.12486 .