

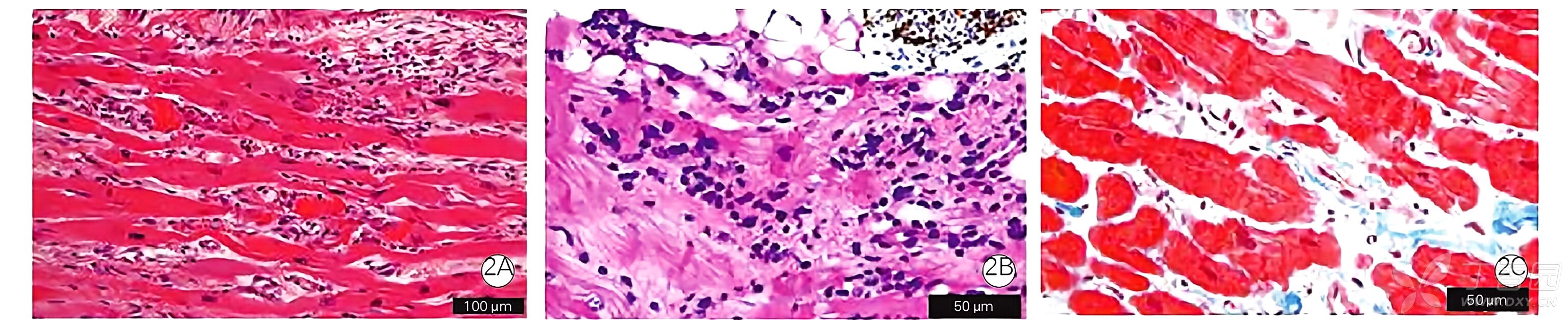
myocarditis
名称 | 定义 | 心肌中的炎症细胞浸润 | 心肌细胞损伤(坏死变性) |
|---|---|---|---|
| 急性心肌炎 | 发病后<30 天的心肌炎,组织学上以炎症细胞浸润和心肌细胞损伤为特征(变性/坏死伴有炎症细胞在心肌细胞周边的侵袭)。 当心肌活检不可行时,除临床病程和症状提示心肌炎外,还可获得以下结果,即可临床诊断为急性心肌炎。 (1)血液中高敏心肌肌钙蛋白水平升高 (2)心脏 MRI 上提示水肿的发现 | + | + |
慢性活动性心肌炎 | 发病后≥30 天的心肌炎,组织学上以炎症细胞浸润和心肌细胞损伤为特征(变性/坏死伴有炎症细胞在心肌细胞周边的侵袭)。 即使在组织病理学上没有看到心肌细胞的损伤,出现以下任何一种结果都表明有可能是临床慢性活动性心肌炎: (1)血液中高敏心肌肌钙蛋白水平持续升高 (2)心肌组织中的 CD3+ T 细胞≥24/mm2(5.8 细胞/HPF) (3)心肌组织中的 Tenascin C(4C8)染色阳性发现。 | + | + |
| 慢性心肌炎 | 发病后≥30 天的心肌炎,组织学上以炎症细胞浸润为特征,但无心肌细胞损伤(变性/坏死伴有炎症细胞在心肌细胞周边的侵袭)。 这可能是介于急性心肌炎和慢性心肌炎之间的一个过渡阶段。 | + | - |
| 慢性炎症性心肌炎 | 发病后心肌炎症持续≥30 天,伴有心室壁运动下降。 组织学上,有纤维化伴随心肌细胞的异常(心肌细胞大小的变化等)和炎症细胞的浸润(心肌组织中的白细胞≥14/mm2,CD3+T 细胞≥7/mm2)。没有心肌细胞损伤(变性/坏死伴有侵袭的心肌细胞周边的炎症细胞)。 | + | - |
| 炎症性扩张型心肌病 | 扩张型心肌病的一个亚组,组织学上以炎症细胞浸润为特征,而无心肌细胞损伤(变性/坏死伴有炎症细胞在心肌细胞周围的侵袭)。这种情况在概念上包括慢性炎症性心肌病。 | + | - |
会员登录后 查看完整内容
文献评审日期:2024-07-24
感谢以下医疗从业者参与贡献
排序不分先后